|
|||||||
| منتدى الصحة المدرسية يهتم بالصحة المدرسية بمنطقة المدينة المنورة وأخر مستجداته بإشراف الأستاذة / ريم الزامل |
| البحث في المنتدى |
| بحث بالكلمة الدلالية |
| البحث المتقدم |
| الذهاب إلى الصفحة... |
|
|
|
![]() |
|
|
أدوات الموضوع | انواع عرض الموضوع |
|
#1
|
|||
|
|||
|
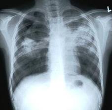
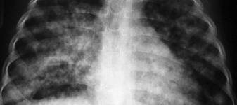
بمناسبة اليوم العالمي للدرن والذي يحل في 24 مارس من كل عام ( الموافق 1 / 5 / 1433 من هذا العام) أقدم هذه النشرة المختصرة للإخوة والأخوات الزملاء والزميلات راجيا أن تعم بها الفائدة والله الموفق . مرض الدرن ( السـل ) [align=center] ما هو الدرن؟ [/align]الدرن (السل) هو أحد الأمراض المعدية المزمنة التي قد يتعرض الإنسان أو الحيوان للإصابة بها , وينشأ نتيجة الإصابة بميكروب الدرن . [align=center] أنواع الإصابة بالدرن: [/align] 1– الدرن الرئوي . 2 – الدرن خارج الرئة: ويصيب الأعضاء خارج الرئة مثل:الغدد الليمفاوية – العظام – الجهاز العصبى – الحنجرة - القناة الهضمية – العين – الجلد . [align=center] ميكروب الدرن: [/align] هناك نوعان من ميكروب الدرن: 1- ميكروب الدرن البشري (أكثر من 99% من الحالات) . 2- ميكروب الدرن البقري (أقل من 1% من الحالات) . [align=center]طرق العـدوى:[/align] 1 – يمثل الجهاز التنفسى المصدر الرئيسى للعدوى بالدرن وينتقل الميكروب إلى الجهاز التنفسى عن طريق استنشاق قطيرات رذاذ المريض المحملة بالميكروب والناشئة عن سعال المريض بالدرن أو عطاسه , وكذلك عن طريق تدخين الشيشة عندما يكون أحد المدخنين مصاباً بالدرن . 2 – قد ينتقل الميكروب إلى اللوزتين أو القناة الهضمية عن طريق شرب لبن ملوث مصدره أبقار مصابة بالدرن أو تناول منتجات ألبان ملوثة بالميكروب . [align=center]عوامل زيادة احتمالات الإصابة بالمرض:[/align] 1– مخالطة المرضى المصابين بالدرن الرئوى النشط . 2– الازدحام وتلوث البيئة وسوء التهوية . 3– الفقر وانخفاض مستوى المعيشة . 4– الجهل وعدم إتباع التعليمات الطبية للوقاية من المرض . 5 – بعض الأمراض تزيد من احتمالات الإصابة بالدرن مثل: البول السكرى ، الفشل الكلوى ، مرض نقص المناعة المكتسبة (الأيدز) ، العلاج لفترات طويلة بمركبات الكورتيزون ، بعض الأمراض الخبيثة مثل سرطان الدم . ما هو الفرق بين الإصابة بالميكروب ومرض الدرن؟ • تختلف الإصابة بميكروب الدرن عن حدوث مرض الدرن ، لأن معظم الذين يصابون بميكروب الدرن لا تظهر عليهم أعراض المرض ولا تتحول الإصابة لديهم إلى مرض . ويعتبر المرض موجودا إذا اشتكى المريض من أعراض المرض وأمكن اكتشافه بوسائل التشخيص مثل فحص الأشعة أو الفحص المعملى للبصاق أو غيره من العينات . ما هى أعراض المرض؟ • أعراض عامة : وهى ارتفاع فى درجة الحرارة ، عرق ليلى ، فقدان الشهية ونقص الوزن . • أعراض رئوية وهى سعال ، بصاق مدمى (بصاق معرق بالدم أو دماً صريحاً) ، ألم بالصدر نتيجة التهاب الغشاء البلورى . • قد يشكو المريض من ضيق التنفس نتيجة الانسكاب البلورى الدرنى ، الالتهاب الرئوى الدرنى ، الكهوف الدرنية ، الالتهاب الشعبى الدرنى . كيف يمكن تشخيص الدرن الرئوى؟ • 1 – الفحص الإكلينكى . • 2 – الفحص بالأشعة . • 3 – الفحص المعملى لميكروب الدرن فى البصاق وعينات أخرى . • 4 – فحص الدم . • 5 – اختبار التيوبركولين ( اختبار عن طريق الجلد ). [align=center]كيف يمكن علاج الدرن؟[/align] تستخدم عدة أدوية معا لعلاج الدرن (قد يصل عددها إلى خمسة أو أكثر) ولمدد طويلة (من ستة أشهر إلى سنتين أو أكثر ) ولابد من الالتزام بجرعات الأدوية والمدة التي يحددها الطبيب كي لا تنتكس الحالة أو تكتسب الميكروبات مناعة ضد الأدوية , وأحيانا تستدعي بعض الحالات التدخل الجراحي إلى جانب الأدوية , ولقد قامت الحكومة السعودية مشكورة بتوفير علاج الدرن مجانا للمواطنين والمقيمين . التطعيم ضد الدرن: يستخدم لقاح الدرن (بى.سى.جى) فى تطعيم حديثى الولادة عادة عند عمر شهر كذلك يستخدم – فى الأشخاص ذوي اختبار سلبى للتيوبركولين إذا كانوا أكثر تعرضاً للإصابة بالميكروب نتيجة مخالطة المرضى بالدرن . ( مع أطيب التمنيات لكم ولسائر المسلمين بدوام الصحة والعافية ) التعديل الأخير تم بواسطة أحمد صلاح الحفني ; 2014-03-30 الساعة 10:51 PM. |
![]() |
| مواقع النشر (المفضلة) |
| الكلمات الدلالية (Tags) |
للدرن, اليوم, العالمي ![]() |
| انواع عرض الموضوع |
العرض العادي |
الانتقال إلى العرض المتطور |
الانتقال إلى العرض الشجري |
|
|
المواضيع المتشابهه
|
||||
| الموضوع | كاتب الموضوع | المنتدى | مشاركات | آخر مشاركة |
| اليوم العالمي للسرطان | أحمد صلاح الحفني | منتدى الصحة المدرسية | 2 | 2014-02-04 02:50 PM |
| اليوم العالمي للغذاء | أحمد صلاح الحفني | منتدى الصحة المدرسية | 0 | 2011-10-16 04:32 PM |
| اليوم العالمي.. | ورده2010 | الركن العام للمواضيع العامة | 2 | 2011-10-09 01:31 AM |
